患猫精神沉郁、脱水、黄疸(图3.207),且表现不同程度的肌肉萎缩。脂肪垫保留完整,这恰恰反应了猫 在生病过程中没有能力动用脂肪,糖异生导致明显的肌肉消耗(图3.208和图3.209)。肝脑病(图3.210)与严重 的肝细胞功能不良或精氨酸的缺乏有关,因此厌食猫易发(猫不能合成精氨酸而必须依靠日粮来源)。腹部触 诊患病猫有30%显示肝肿大。
鉴别诊断 应与特异性肝脂肪沉积症,继发性肝脂肪沉积症,肝淋巴瘤相鉴别。
图3.207 猫肝脂肪沉积症的黄疸。
图3.208 猫肝脂肪沉积症引起的皮下脂肪垫增大。
图3.209 猫肝脂肪沉积症沿背部有明显的肌肉消耗。
图3.210 家养短毛猫的肝脑病与脂肪沉积症有关。
图3.211 猫肝脂肪沉积症肝脏的腹腔镜观察,显示有脂肪肝和膨胀的胆囊。
诊断 诊断基于肝活组织样本的组织学检查。典型的实验室检查是胆汁阻塞:总胆红素值正常范围为0.3mg/ dL(5μmol/L)~15mg/dL(256.5μmol/L)或更高。通常出现轻微非再生性贫血。肝酶活性升高:ALT正常或中 度升高(50~450U/L);AP极少正常,多数升高(75~1200 U/L),大多数猫肝脂肪沉积症的AP在200~600U/L 之间。大多数猫禁食时血清胆汁酸浓度高于正常 [0.3~2.3μg/mL(0.75~5.6μmol/L)]。葡萄糖浓度升高,但不 应与糖尿病混淆。低钾血症也可能出现。
大多数猫腹部X线片显示肝肿大。肝脏和周围结构的超声波检查,用以鉴别诊断和排除其他疾病,如胆管肝 炎和肝外性胆道阻塞。肝脂肪沉积症的主要超声波图像显示是高回声(脂肪密度大于水密度)。
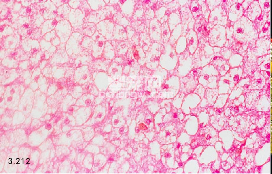
有的动物可吸取细胞进行组织诊断,而其他患病动物可通过细针头、穿皮活组织、腹腔镜(图3.211)或剖 腹探查获得。标本置放于10%福尔马林缓冲液中,并在液体中常浮漂起来。也可做组织学切片(图3.212)。
图3.212 猫肝脂肪沉积症肝脏的组织学图片,可看到许多空肝细胞,它们是在固定过程中除去细胞内脂肪的肝细胞。
母猪是猪场的核心,母猪繁殖力的高低影响着猪场年断奶仔猪数,决定猪场能否实现出栏目标。为了使生产持续稳定,猪场需要对母猪群进行有计划地更新(淘汰)。 母猪淘汰分为主动(正常)淘汰和被动(异常)淘汰。 主动淘汰是指有计划地对繁殖性能低、胎[详细]
天气愈渐寒冷,让养猪人非常头疼的问题来了:密闭不好,通风量大,舍内温度降低,轻则会影响猪的生长速度。因为猪要消耗一部分能量来维持自身体温,重则容易流感、应激;密闭严实一点,舍内温度上来了,但是氨气味特别大,猪群非常容易换上呼吸道方面的疾病。[详细]
食盐是猪日粮中不可缺少的成分。按饲料中含食盐量0.3%饲喂猪,可改善食欲,促进发育,但摄入过量常引起食盐中毒。有一位养猪朋友外购了一批仔猪,为了让猪增加采食量,喂猪时添加了食盐,连续用几天后。发现猪突然拒食,在圈内表现为转圈、兴奋不安,只喝水不[详细]
猪痢疾和增生性肠炎都是猪场常见的疾病,都有排血痢的现象,可造成猪的饲料利用率降低,生长速度受阻,使猪的出栏可延迟10-15天,有的形成僵猪,如不及时对症治疗猪的死亡率可出现高死亡率的现象,给养殖业造成了不小的经济损失。一、猪血痢诊断要点1、各种年[详细]
母猪通常排卵大约20—25枚,卵子的受精率可达95%以上。而母猪的产仔数多在9—13头之间,这说明有30%—40%的受精卵死亡,受精卵的死亡有三个时期。1:前期死亡:精子与卵子在输卵管的壶腹部受精形成的受精卵,受精卵呈游离状态,不断向子宫游动,到达子宫系膜[详细]