临床症状 大多数发生急性胰腺炎犬是中年肥胖的雌性犬,但是体重正常和雄性犬也可能患病。病史中最普 遍的症状包括突然呕吐、厌食和精神沉郁。某些病例报道是由于脂肪摄入过多,当然这不可能是一致的情况。 刚开始呕吐物中可能含有部分未消化的食物,紧接着呕吐物含有胆汁和水状黏液。开始呕吐后,犬可能只表现 反胃动作。情绪从较温顺到明显的精神沉郁,姿态正常或直立腹部上收,是否侧卧取决于疼痛和血容量减少的 程度。偶尔也可能发生腹泻,但是由于腹膜炎导致的肠梗阻,使粪便稀少或不排便(图3.256~图3.258)。
猫患急性胰腺炎,年龄从青年到老年都有,但是大多数患猫年龄超过8岁,多数体重正常。临床症状与犬相 似,偶见没有呕吐(图3.259和图3.260)。
身体检查结果随疾病的严重性而不同,犬和猫患有轻微胰腺炎只表现轻度的精神不振,其他都显示正常;触 诊腹部柔软,胰腺出血坏死时的症状,包括:明显的精神沉郁,发热,伴有心动过速,呼吸急促和脉搏微弱的 低血压,腹痛,从中度到明显程度脱水,猫腹部触诊有时发现肠粘连(图3.261)。
坏死性胰腺炎初期临床上不会出现黄疸,可在第三天出现,一般由于胆汁瘀积导致,胆管阻塞少见。腹部膨 大是由于麻痹性肠梗阻所致。红棕色腹水液(胰腺性腹水)有时是出血性坏死胰腺炎导致的积液。
鉴别诊断 急性胰腺炎初期的鉴别诊断要与多种临床疾病鉴别(表3.22),表中广泛列出了任何有急性腹腔 综合征相似症状的疾病。有几个是外科急诊,需要快速诊断和治疗。
诊断
两种最常用方法是X线和超声波。犬和猫急性胰腺炎的腹部X线能显示几处异常。在轻度水肿时,可见包括 胃和十二指肠从正常到轻度肠梗阻范围。更严重时,由于腹膜炎会导致以下变化:在腹腔前部由于液体密度增 加,使内脏详细影像消失,右侧十二指肠移位和胃扩张。除这些典型症状外,急性胰腺炎X线显示胸腔渗漏液和 肺部积液(图3.262和图3.263)。
表3.22 犬和猫的急性胰腺炎的鉴别诊断
图3.256 急性胰腺炎的临床症状从轻度到重度有不同的变化。这只13岁雌性贵宾犬 进食后立即出现急性呕吐、精神沉郁和明显的腹痛。尽管加大剂量的输液治疗,但最 终死于出血坏死性胰腺炎。
图3.257 图3.256中表现呕吐、沉郁和严重腹痛特急性症状的病犬,虽经精心努力治疗 最终死亡。尸体剖检显示钙化灶沉积(三角所指)在腹部脂肪上,并有胰腺性腹水。
图3.258 图3.256中的犬死后剖检有严重的出血性胰腺坏死(箭头所指)。
图3.259 猫典型胰腺炎伴有厌食、精神沉郁和明显的不喜运动。虽有许多猫表现呕 吐,但也有一些猫并不出现呕吐。大多数患有胰腺炎的猫表现腹部柔软,不同程度的X 线片病理变化。 确诊只能通过对胰腺粗略造影及需要或不需要活组织和组织病理检查。
图3.260 图3.259中表现有急性胰腺炎猫的侧腹部X线片:显示有弥散的腹部渗漏液和小肠管的 “集合效应”。在外科手术中(图3.261)看到这些损 伤是很明显的。大量的腹膜后腔脂肪导致了降结肠的腹侧下降。
图3.261 16岁家养短毛雌猫手术看到了腹部触诊感知的小肠粘连,还看到腹膜的壁层和脏层上的弥漫性钙化灶沉积,这些沉积是急性胰腺炎的示病症状。
图3.262和图3.263 犬患有急性胰腺炎的几种异常的侧面和腹背面的X线片,侧面投影(图3.262)显示腹中前部不清楚,腹前部液体密度增加,从末 端到肝脏(箭头所指)。腹背面X片(图3.263)可见与十二指肠梗阻一起,单侧右上腹部液体密度增加。
图3.264 一只7岁雄性英国可卡犬腹部超声波检查为典型的急性胰腺炎病变,包括胰腺实质的低回声(短箭头所指)和炎性胰腺周围脂肪明显的高回 声,其脂肪含有多量钙沉积(长箭头所指)。该犬也有患艾迪生病的危险。患犬无尿最后安乐死。尸体剖解发现包括急性坏死性胰腺炎(与图3.257、 图3.258相似),双侧肾上腺皮质萎缩,甲状腺萎缩。它是不能治疗的甲状腺功能减退导致了高脂血症,高脂血症导致犬急性胰腺炎。
超声波在探查与胰腺炎相关的病理变化时是很有用的。然而,正常胰腺很少显现,发炎器官增强了低回 声。胰腺周围脂肪炎症的出现,使胰腺周界变成高回声。胰腺右侧支发炎能导致十二指肠明显增厚。胰腺无回 声的假囊肿和脓肿形成,胰腺性腹水,超声波都可探查到。过度扩张的肠袢是限制图像显示的主要因素(图 3.264~图3.267)。
临床病理学 犬、猫典型急性胰腺炎的实验室检验异常已描述,见表3.23和图3.268说明。猫血清生化项目 是变化的,范围从正常到异常,包括肾、肝、葡萄糖、蛋白质和电解液参数。血象常常表示炎症反应。
脂肪酶或淀粉酶作为诊断测试已争议多年,因为二酶水平在发生急性胰腺炎时仍然正常。当选择血清淀粉酶 检验时,分解淀粉方法的程序是很重要的;正常犬、胰腺炎犬、肾衰竭犬、肾衰竭和急性胰腺炎犬的实验检验 结果都有解释价值。血清中淀粉酶值比正常值增加2~3倍时,则可怀疑是急性胰腺炎。
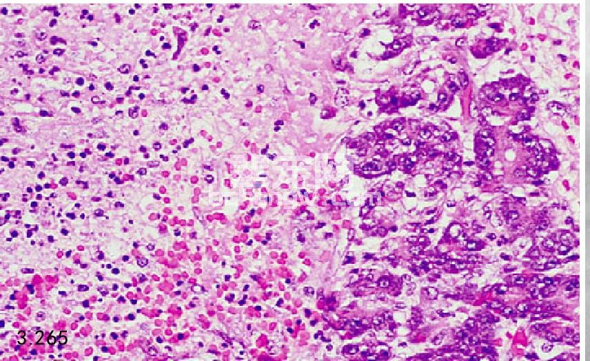
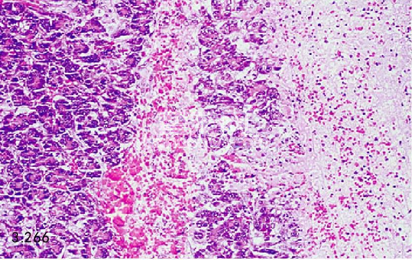
图3.265和图3.266 上图患犬胰腺的组织病理学图片显示为腺体坏死、出血、水肿,由中性粒细胞和巨嗜细胞的炎性浸润(H&E)。
图3.267 猫急性胰腺炎超声检查的典型征象,实质组织低回声和高回声边缘(箭头所指)清晰可见。7岁雄猫也是酮酸性糖尿病,单独加强治疗3周会 有所改善。两种病最后都得到治愈。
表3.23 犬和猫急性胰腺炎伴发的临床病理异常
图3.268 图3.237中患犬的血液生化指标异常。这些血液生化指标支持了 高渗透压性糖尿病性酮酸中毒和肾衰竭的诊断。血液淀粉酶和脂酶超过正 常水平2倍以上,支持了急性胰腺炎的诊断。钙盐形成使血钙浓度降低。 肝脂沉积和胆脂沉积使肝酶浓度升高,而低血钠可能由于肾小管钠吸收障 碍,渗透压性多尿症和呕吐造成。高血脂或高血糖可能引起假性低血钠。 总CO2浓度降低可能提示代谢性酸中毒,高血糖使渗透性升高。
已报道在诊断犬急性胰腺炎时,血清脂肪酶比淀 粉酶更可靠。然而,脂肪酶和淀粉酶在几种严重的腹 部疾病中也会升高,如肝脏病、肾病和肿瘤生成。在 严重胰腺损伤发生时,血清淀粉酶和脂肪酶活性可能 正常或甚至降低,血清淀粉酶和脂肪酶检验结果的解 释,经常是结合动物临床症状作出。
在猫胰腺炎时,异常升高的血清脂肪酶和淀粉酶 水平是变化无常的,不应该作为诊断的唯一标准。然 而猫患急性胰腺炎,两种酶水平常常出现正常。如果 在肾功能正常时,血清淀粉酶和脂肪酶活性都增加2 倍或更高,则提示有急性胰腺炎的发生。
血清类似胰蛋白酶免疫活性(TLI)试验对猫看 来像是非常敏感的,对犬可能是最特异性试验。急性 胰腺炎时升高超过35μg/L。在疾病早期血清中TLI趋 向升高,然后快速下降。
母猪是猪场的核心,母猪繁殖力的高低影响着猪场年断奶仔猪数,决定猪场能否实现出栏目标。为了使生产持续稳定,猪场需要对母猪群进行有计划地更新(淘汰)。 母猪淘汰分为主动(正常)淘汰和被动(异常)淘汰。 主动淘汰是指有计划地对繁殖性能低、胎[详细]
天气愈渐寒冷,让养猪人非常头疼的问题来了:密闭不好,通风量大,舍内温度降低,轻则会影响猪的生长速度。因为猪要消耗一部分能量来维持自身体温,重则容易流感、应激;密闭严实一点,舍内温度上来了,但是氨气味特别大,猪群非常容易换上呼吸道方面的疾病。[详细]
食盐是猪日粮中不可缺少的成分。按饲料中含食盐量0.3%饲喂猪,可改善食欲,促进发育,但摄入过量常引起食盐中毒。有一位养猪朋友外购了一批仔猪,为了让猪增加采食量,喂猪时添加了食盐,连续用几天后。发现猪突然拒食,在圈内表现为转圈、兴奋不安,只喝水不[详细]
猪痢疾和增生性肠炎都是猪场常见的疾病,都有排血痢的现象,可造成猪的饲料利用率降低,生长速度受阻,使猪的出栏可延迟10-15天,有的形成僵猪,如不及时对症治疗猪的死亡率可出现高死亡率的现象,给养殖业造成了不小的经济损失。一、猪血痢诊断要点1、各种年[详细]
母猪通常排卵大约20—25枚,卵子的受精率可达95%以上。而母猪的产仔数多在9—13头之间,这说明有30%—40%的受精卵死亡,受精卵的死亡有三个时期。1:前期死亡:精子与卵子在输卵管的壶腹部受精形成的受精卵,受精卵呈游离状态,不断向子宫游动,到达子宫系膜[详细]