概述 退行性脊髓病常发于6~12岁的德国牧羊犬,但相似的脊髓病也发生于彭布罗克柯基犬。
病因学 不明。德国牧羊犬的发病情况暗示此病有基因学基础,但尚无证据。
病理生理学 存在轴突和髓鞘的变性,胸腰段脊髓的背侧根病变最重(图7.46)。脊髓神经根也能受损(神 经根病)。没有压迫或炎症的证据。病因和病理机制不清,怀疑是免疫学原因。特征性症状是细胞介导免疫抑 制和循环血中免疫复合物增加。
临床症状 临床症状的出现不易察觉,为缓慢的进行性疾病。起初的症状包括后肢共济失调和带有意识性固 有感觉丧失的轻瘫(图7.47和图7.48)。痛觉、前肢功能和反射正常,且少见大小便失禁。可出现后肢脊髓反射 过度,但若神经根受累也可能无反射。
图7.46 老龄犬的退行性脊髓病:图示此病本体感觉缺陷的特征。
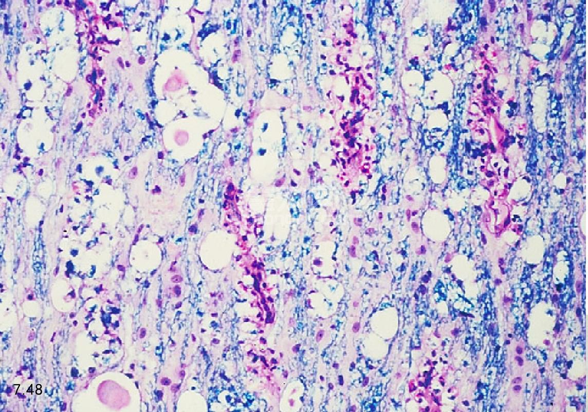
图7.47和图7.48 患退行性脊髓病德国牧羊犬的胸段脊髓横断(x50)。图7.48为脊柱的特征性病变。
母猪是猪场的核心,母猪繁殖力的高低影响着猪场年断奶仔猪数,决定猪场能否实现出栏目标。为了使生产持续稳定,猪场需要对母猪群进行有计划地更新(淘汰)。 母猪淘汰分为主动(正常)淘汰和被动(异常)淘汰。 主动淘汰是指有计划地对繁殖性能低、胎[详细]
天气愈渐寒冷,让养猪人非常头疼的问题来了:密闭不好,通风量大,舍内温度降低,轻则会影响猪的生长速度。因为猪要消耗一部分能量来维持自身体温,重则容易流感、应激;密闭严实一点,舍内温度上来了,但是氨气味特别大,猪群非常容易换上呼吸道方面的疾病。[详细]
食盐是猪日粮中不可缺少的成分。按饲料中含食盐量0.3%饲喂猪,可改善食欲,促进发育,但摄入过量常引起食盐中毒。有一位养猪朋友外购了一批仔猪,为了让猪增加采食量,喂猪时添加了食盐,连续用几天后。发现猪突然拒食,在圈内表现为转圈、兴奋不安,只喝水不[详细]
猪痢疾和增生性肠炎都是猪场常见的疾病,都有排血痢的现象,可造成猪的饲料利用率降低,生长速度受阻,使猪的出栏可延迟10-15天,有的形成僵猪,如不及时对症治疗猪的死亡率可出现高死亡率的现象,给养殖业造成了不小的经济损失。一、猪血痢诊断要点1、各种年[详细]
母猪通常排卵大约20—25枚,卵子的受精率可达95%以上。而母猪的产仔数多在9—13头之间,这说明有30%—40%的受精卵死亡,受精卵的死亡有三个时期。1:前期死亡:精子与卵子在输卵管的壶腹部受精形成的受精卵,受精卵呈游离状态,不断向子宫游动,到达子宫系膜[详细]