鉴别诊断 应与脓毒血症、多发性瘤、猫传染性腹膜炎、猫白血病与FIV感染等鉴别诊断。
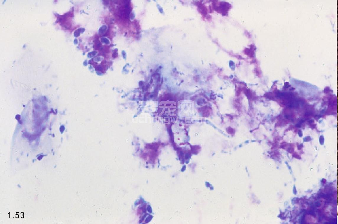
诊断 如从局部斑取的样品中分离到念珠菌则可确诊,要是扩散性念珠菌病采外周血进行分离真菌(图 1.53)。样品用血平板进行分离。取外周血时应取动脉血。也可以用皮肤、肝、脾、肺或肾等器官做活组织检 查。近年来应用PCR实验能实现在血和尿液中检验出念珠菌。
可于血琼脂上培养。取外周血时建议取动脉血而不是静脉血。条件许可下,可用皮肤、肝、脾、肺或肾等器 官做活组织检查,通过组织检查确诊是作出诊断的另一选择。目前,用聚合链式反应可从血液和尿液中检查出 念珠菌。
图1.53 这是能感染有免疫抑制的动物的念珠菌菌丝。
母猪是猪场的核心,母猪繁殖力的高低影响着猪场年断奶仔猪数,决定猪场能否实现出栏目标。为了使生产持续稳定,猪场需要对母猪群进行有计划地更新(淘汰)。 母猪淘汰分为主动(正常)淘汰和被动(异常)淘汰。 主动淘汰是指有计划地对繁殖性能低、胎[详细]
天气愈渐寒冷,让养猪人非常头疼的问题来了:密闭不好,通风量大,舍内温度降低,轻则会影响猪的生长速度。因为猪要消耗一部分能量来维持自身体温,重则容易流感、应激;密闭严实一点,舍内温度上来了,但是氨气味特别大,猪群非常容易换上呼吸道方面的疾病。[详细]
食盐是猪日粮中不可缺少的成分。按饲料中含食盐量0.3%饲喂猪,可改善食欲,促进发育,但摄入过量常引起食盐中毒。有一位养猪朋友外购了一批仔猪,为了让猪增加采食量,喂猪时添加了食盐,连续用几天后。发现猪突然拒食,在圈内表现为转圈、兴奋不安,只喝水不[详细]
猪痢疾和增生性肠炎都是猪场常见的疾病,都有排血痢的现象,可造成猪的饲料利用率降低,生长速度受阻,使猪的出栏可延迟10-15天,有的形成僵猪,如不及时对症治疗猪的死亡率可出现高死亡率的现象,给养殖业造成了不小的经济损失。一、猪血痢诊断要点1、各种年[详细]
母猪通常排卵大约20—25枚,卵子的受精率可达95%以上。而母猪的产仔数多在9—13头之间,这说明有30%—40%的受精卵死亡,受精卵的死亡有三个时期。1:前期死亡:精子与卵子在输卵管的壶腹部受精形成的受精卵,受精卵呈游离状态,不断向子宫游动,到达子宫系膜[详细]