鉴别诊断 应与前列腺留存(真实的)囊肿,肿瘤,腹水相鉴别。
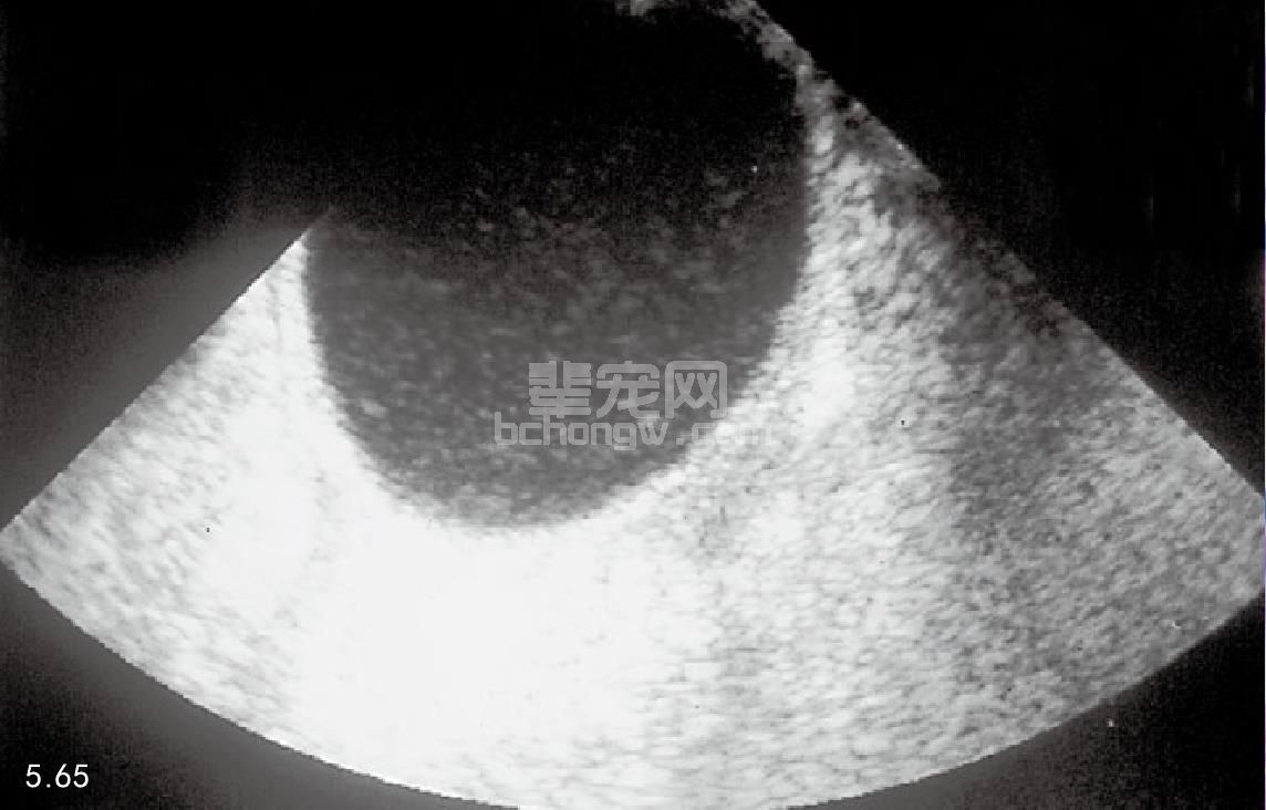
诊断 直肠检查骨盆腔偏移直肠可以检查到囊肿。前列腺周囊肿非常大时其腹部也会增大。使用放射学检 查可以显示腹腔后部的影像细节不清,囊肿壁钙化。在X线平片上很难区分囊肿和膀胱的位置,通过膀胱造影 或者超声诊断可以解决这个问题。如果囊肿没有发生感染,超声检查会显示有低回声囊肿液体的薄壁囊肿(图 5.65)。抽吸的液体通常为黄色,但是可能是血清样物质或相关的非细胞成分,有时没有结果。如果怀疑有继发 性感染,不宜使用细针进行抽吸,因为囊肿的壁很薄,即使是很细的针穿刺也会使里面的液体漏出。
图5.65 德国牧羊犬在小骨盆腔中的前列腺周囊肿的超声诊断图像。该图像是使用直肠探头获得的。
母猪是猪场的核心,母猪繁殖力的高低影响着猪场年断奶仔猪数,决定猪场能否实现出栏目标。为了使生产持续稳定,猪场需要对母猪群进行有计划地更新(淘汰)。 母猪淘汰分为主动(正常)淘汰和被动(异常)淘汰。 主动淘汰是指有计划地对繁殖性能低、胎[详细]
天气愈渐寒冷,让养猪人非常头疼的问题来了:密闭不好,通风量大,舍内温度降低,轻则会影响猪的生长速度。因为猪要消耗一部分能量来维持自身体温,重则容易流感、应激;密闭严实一点,舍内温度上来了,但是氨气味特别大,猪群非常容易换上呼吸道方面的疾病。[详细]
食盐是猪日粮中不可缺少的成分。按饲料中含食盐量0.3%饲喂猪,可改善食欲,促进发育,但摄入过量常引起食盐中毒。有一位养猪朋友外购了一批仔猪,为了让猪增加采食量,喂猪时添加了食盐,连续用几天后。发现猪突然拒食,在圈内表现为转圈、兴奋不安,只喝水不[详细]
猪痢疾和增生性肠炎都是猪场常见的疾病,都有排血痢的现象,可造成猪的饲料利用率降低,生长速度受阻,使猪的出栏可延迟10-15天,有的形成僵猪,如不及时对症治疗猪的死亡率可出现高死亡率的现象,给养殖业造成了不小的经济损失。一、猪血痢诊断要点1、各种年[详细]
母猪通常排卵大约20—25枚,卵子的受精率可达95%以上。而母猪的产仔数多在9—13头之间,这说明有30%—40%的受精卵死亡,受精卵的死亡有三个时期。1:前期死亡:精子与卵子在输卵管的壶腹部受精形成的受精卵,受精卵呈游离状态,不断向子宫游动,到达子宫系膜[详细]