鉴别诊断 应与全身性红斑狼疮、血液寄生虫病、中毒病、传染病(如钩端螺旋体病)、红细胞机制缺陷、 肿瘤、弥漫性血管内凝血(DIC)及脾功能亢进等疾病相鉴别。
诊断 全血细胞计数通常可显示有中年白细胞和嗜中性白细胞增多、再生性核左移及淋巴细胞数目不断变化。 毒性存在时,将是轻度,只能看见德勒小体。贫血从严重到中度(5%~30%),可见多染性红细胞增多、红细胞 不均、红细胞着色浅素及幼红细胞增多有核红细胞等再生情况发生(图6.9)。有46%的病例显示出网织红细胞增 多的症状。MCV增加,MCHC降低,大量未成熟的红细胞进入血液循环。炎症增加可能导致血浆纤维蛋白原增加。
免疫介导性贫血最确切的病因揭示(图6.10~图6.12),应根据血凝集和球形红细胞增加多症(20%的病 例)等情况。盐性实验有助于血凝集和红细胞钱串的区别:加一滴血到一滴生理盐水中,用湿法检测,稀释可 降低红细胞钱串的形成;红细胞密集说明存在凝血(图6.13和图6.14)。
血清生化指标可根据病情的急性和溶血危象的严重程度显示肝酶浓度的微量变化。组织ALT和AST活性升 高;大量溶血是血清胆红素含量升高,同时AP活性升高。
尿检显示,颜色减退。血管内外溶血发生时,会分别显示血红蛋白尿和胆红素尿。肾小球损坏,免疫复合物 增加使得血红蛋白增加产生蛋白尿。圆柱形血红蛋白尿呈现透明或粗的颗粒状管型。
没有凝血时,要诊断免疫介导性溶血性贫血的确切方法是抗红细胞抗体和库姆斯实验。库姆斯实验多用于检 测抗体与红细胞表面的紧密程度。实验中血液应收集在加有EDTA的试管中,由各种抗血清组成的库姆斯试剂加 到患畜的红细胞中。试剂作为桥梁,加强了抗体与红细胞的接触,实验最终产生凝集,诊断结果说明有包被抗 体的红细胞存在。
红细胞表面非特定免疫球蛋白吸收,或有血巴尔通氏体病和巴贝斯虫感染的血液寄生虫病,或患畜最初曾 经输过血时,库姆斯试验会呈现假阳性结果。当近期使用皮质类固醇或红细胞表面仅有较低水平的抗体也会呈 现假阳性结果。应该指出的是:伴随免疫介导性溶血性贫血会并发其他疾病,如淋巴癌、免疫介导性血小板减 少,血管肉瘤、恶丝虫病、猫白血病病毒感染和全身性红斑狼疮。
图6.8 冷凝集素疾病表现为耳尖坏死。
图6.9 免疫介导性溶血性贫血的病体红细胞大小不均,多染性红细胞增多和血液的凝集。
图6.10 血凝的肉眼观察。
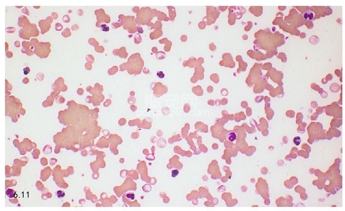
图6.11 血涂片显示红细胞大量凝集。
图6.12 免疫介导性溶血性贫血犬的球形细胞增多,长箭头所指是相对于正常或多染性红细胞(短箭头所指)小的致密红细胞。
图6.13 血液标本说明有与真正的凝集相对应的致密红细胞团。
图6.14 盐溶液稀释或降低细胞黏附力之前血液标本中的红细胞钱串。
母猪是猪场的核心,母猪繁殖力的高低影响着猪场年断奶仔猪数,决定猪场能否实现出栏目标。为了使生产持续稳定,猪场需要对母猪群进行有计划地更新(淘汰)。 母猪淘汰分为主动(正常)淘汰和被动(异常)淘汰。 主动淘汰是指有计划地对繁殖性能低、胎[详细]
天气愈渐寒冷,让养猪人非常头疼的问题来了:密闭不好,通风量大,舍内温度降低,轻则会影响猪的生长速度。因为猪要消耗一部分能量来维持自身体温,重则容易流感、应激;密闭严实一点,舍内温度上来了,但是氨气味特别大,猪群非常容易换上呼吸道方面的疾病。[详细]
食盐是猪日粮中不可缺少的成分。按饲料中含食盐量0.3%饲喂猪,可改善食欲,促进发育,但摄入过量常引起食盐中毒。有一位养猪朋友外购了一批仔猪,为了让猪增加采食量,喂猪时添加了食盐,连续用几天后。发现猪突然拒食,在圈内表现为转圈、兴奋不安,只喝水不[详细]
猪痢疾和增生性肠炎都是猪场常见的疾病,都有排血痢的现象,可造成猪的饲料利用率降低,生长速度受阻,使猪的出栏可延迟10-15天,有的形成僵猪,如不及时对症治疗猪的死亡率可出现高死亡率的现象,给养殖业造成了不小的经济损失。一、猪血痢诊断要点1、各种年[详细]
母猪通常排卵大约20—25枚,卵子的受精率可达95%以上。而母猪的产仔数多在9—13头之间,这说明有30%—40%的受精卵死亡,受精卵的死亡有三个时期。1:前期死亡:精子与卵子在输卵管的壶腹部受精形成的受精卵,受精卵呈游离状态,不断向子宫游动,到达子宫系膜[详细]