鉴别诊断 应与其他传染性因素、肿瘤、器官衰竭和慢性炎症等疾病相鉴别。
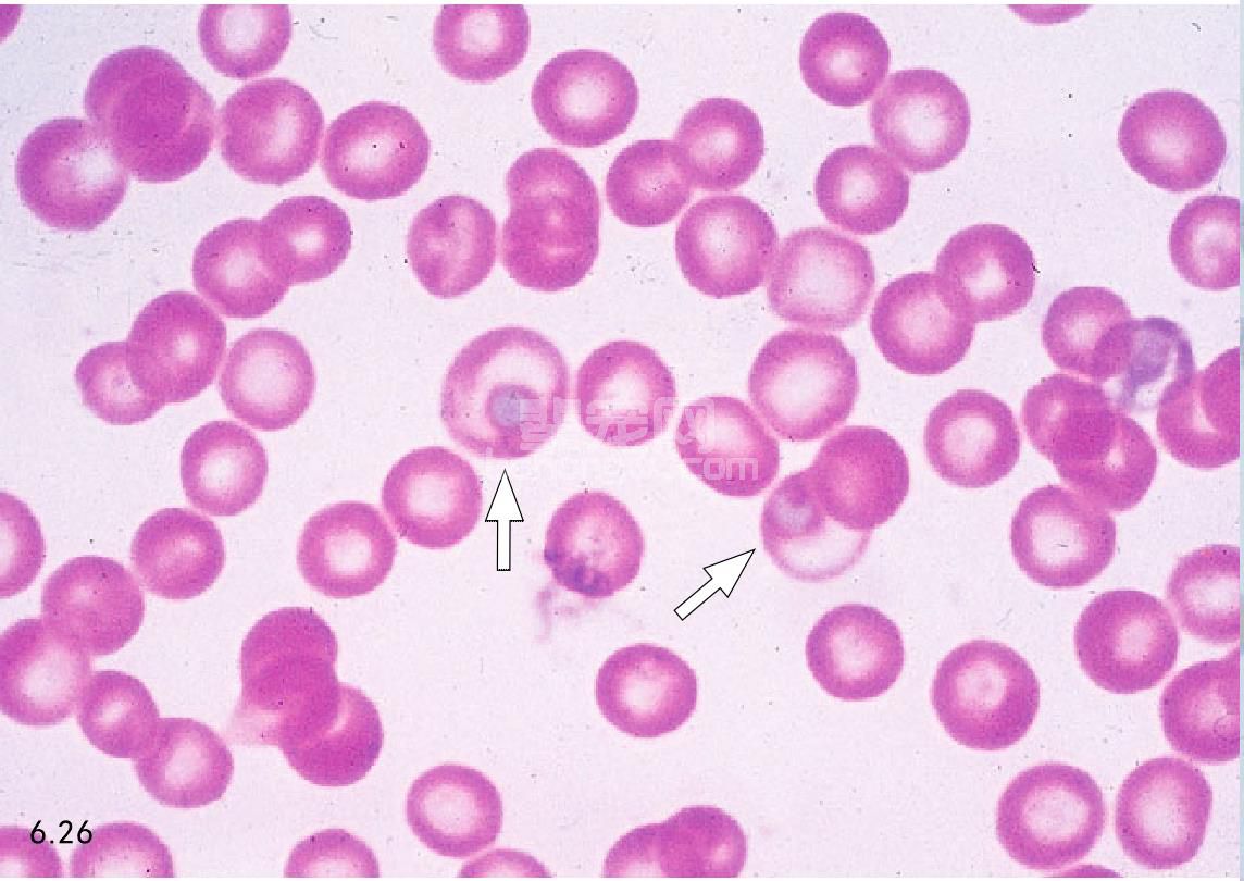
诊断 通过患病动物的临床症状观察、病毒学或血清学试验、特征性病理生理性损伤和受损细胞内病毒颗粒 或包涵体的确认进行确诊。猫瘟病毒感染,红细胞或淋巴细胞经罗曼诺夫斯基染色时细胞核内有一个或多个浅 蓝色点(图6.26)。但包涵体经瑞氏染色后形成如Diff-Quick样的深蓝色(图6.27)。
图6.26 瑞氏染色的血涂片,红细胞内猫瘟病毒包涵体多现浅蓝色(箭头所指)。
图6.27 患犬瘟热病犬的Diff-Quick染色的血液涂片,红细胞呈紫色,箭头所指为淋巴细胞的病毒包涵体。
母猪是猪场的核心,母猪繁殖力的高低影响着猪场年断奶仔猪数,决定猪场能否实现出栏目标。为了使生产持续稳定,猪场需要对母猪群进行有计划地更新(淘汰)。 母猪淘汰分为主动(正常)淘汰和被动(异常)淘汰。 主动淘汰是指有计划地对繁殖性能低、胎[详细]
天气愈渐寒冷,让养猪人非常头疼的问题来了:密闭不好,通风量大,舍内温度降低,轻则会影响猪的生长速度。因为猪要消耗一部分能量来维持自身体温,重则容易流感、应激;密闭严实一点,舍内温度上来了,但是氨气味特别大,猪群非常容易换上呼吸道方面的疾病。[详细]
食盐是猪日粮中不可缺少的成分。按饲料中含食盐量0.3%饲喂猪,可改善食欲,促进发育,但摄入过量常引起食盐中毒。有一位养猪朋友外购了一批仔猪,为了让猪增加采食量,喂猪时添加了食盐,连续用几天后。发现猪突然拒食,在圈内表现为转圈、兴奋不安,只喝水不[详细]
猪痢疾和增生性肠炎都是猪场常见的疾病,都有排血痢的现象,可造成猪的饲料利用率降低,生长速度受阻,使猪的出栏可延迟10-15天,有的形成僵猪,如不及时对症治疗猪的死亡率可出现高死亡率的现象,给养殖业造成了不小的经济损失。一、猪血痢诊断要点1、各种年[详细]
母猪通常排卵大约20—25枚,卵子的受精率可达95%以上。而母猪的产仔数多在9—13头之间,这说明有30%—40%的受精卵死亡,受精卵的死亡有三个时期。1:前期死亡:精子与卵子在输卵管的壶腹部受精形成的受精卵,受精卵呈游离状态,不断向子宫游动,到达子宫系膜[详细]