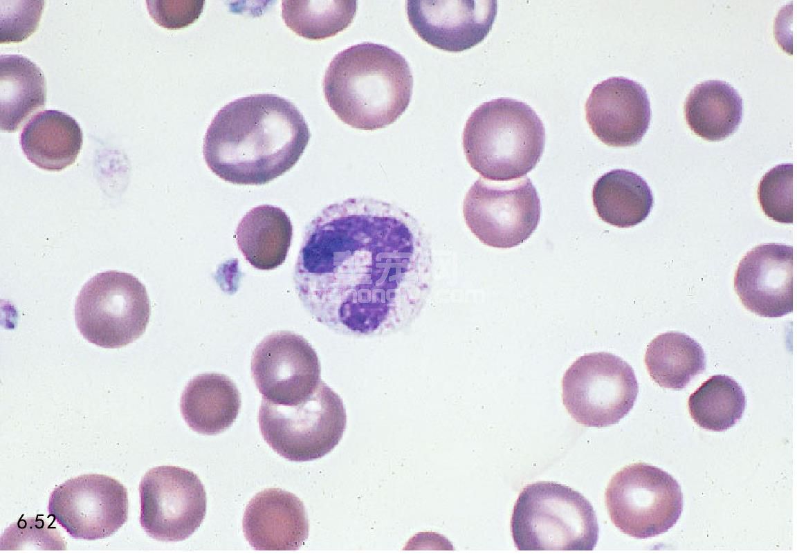
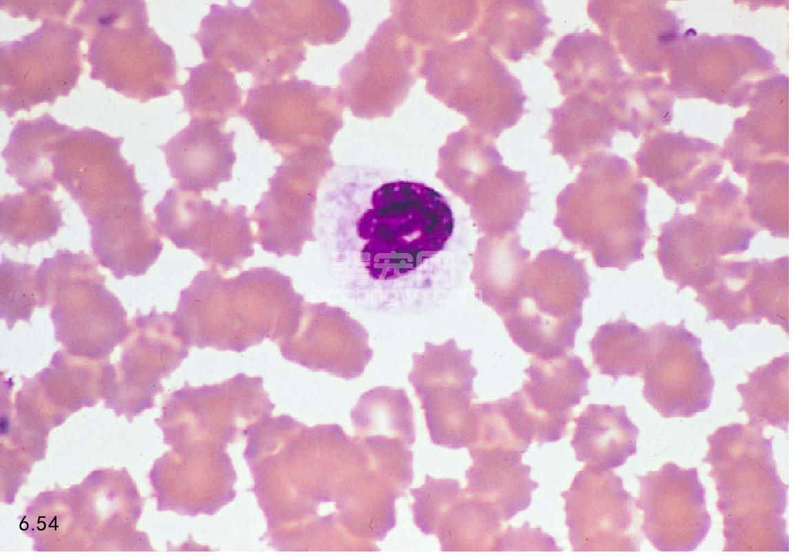
概述 嗜中性白细胞呈现出德勒体、胞质的嗜碱性粒细胞、中毒性粒细胞或胞质的空泡形成是中毒性变化的 特征,同时不成熟细胞明显变动,多大于1000/μL(图6.50~图6.54)。
病因学 抗生素反应说明有细菌感染,但毒性变化在无菌炎症或药物中毒病例中也能见到。
病理生理学 德勒体表现为有粗面内质网状的层状聚集。弥漫性胞质的嗜碱性粒细胞与持续的核糖体存在有 关。罗曼诺夫斯基染色,最初的粒细胞染色加深形成,称为中毒性粒细胞的小红粒细胞。骨髓产生的细胞破裂 导致粒细胞缺失,膜的完整性破坏,此时嗜中性白细胞内胞质的空泡形成。中毒性变化减少,预后良好。
图6.50 轻度毒性猫的血液涂片:嗜中性白细胞内的德勒体(Doehle bodies),有点状嗜碱性粒细胞的胞质结构。
图6.51 猫血液涂片的后段嗜中性粒细胞:轻度毒性时有分叶嗜中性粒细胞,弥漫性胞质为嗜碱性粒细胞出现于中度中毒(2 +)病例中。
图6.52 犬免疫介导性出血性贫血的带状嗜中性白细胞,此为轻度中毒的毒性胞粒。
图6.53 犬严重(3 + )时后带状嗜中性白细胞的血液涂片:弥漫性胞质的嗜碱性粒细胞和空泡形成(箭头所指)。
图6.54 感染了犬瘟热病毒的犬严重中毒(3 + )时,分叶的嗜中性粒细胞表现为弥漫性胞质嗜碱性粒细胞及丰富的泡沫状胞质。
母猪是猪场的核心,母猪繁殖力的高低影响着猪场年断奶仔猪数,决定猪场能否实现出栏目标。为了使生产持续稳定,猪场需要对母猪群进行有计划地更新(淘汰)。 母猪淘汰分为主动(正常)淘汰和被动(异常)淘汰。 主动淘汰是指有计划地对繁殖性能低、胎[详细]
天气愈渐寒冷,让养猪人非常头疼的问题来了:密闭不好,通风量大,舍内温度降低,轻则会影响猪的生长速度。因为猪要消耗一部分能量来维持自身体温,重则容易流感、应激;密闭严实一点,舍内温度上来了,但是氨气味特别大,猪群非常容易换上呼吸道方面的疾病。[详细]
食盐是猪日粮中不可缺少的成分。按饲料中含食盐量0.3%饲喂猪,可改善食欲,促进发育,但摄入过量常引起食盐中毒。有一位养猪朋友外购了一批仔猪,为了让猪增加采食量,喂猪时添加了食盐,连续用几天后。发现猪突然拒食,在圈内表现为转圈、兴奋不安,只喝水不[详细]
猪痢疾和增生性肠炎都是猪场常见的疾病,都有排血痢的现象,可造成猪的饲料利用率降低,生长速度受阻,使猪的出栏可延迟10-15天,有的形成僵猪,如不及时对症治疗猪的死亡率可出现高死亡率的现象,给养殖业造成了不小的经济损失。一、猪血痢诊断要点1、各种年[详细]
母猪通常排卵大约20—25枚,卵子的受精率可达95%以上。而母猪的产仔数多在9—13头之间,这说明有30%—40%的受精卵死亡,受精卵的死亡有三个时期。1:前期死亡:精子与卵子在输卵管的壶腹部受精形成的受精卵,受精卵呈游离状态,不断向子宫游动,到达子宫系膜[详细]