概述 犬、家养猫及野生犬科动物的蜱传染性疾病,在非洲、南欧、中东、亚洲及北美都有发生。猫的传染 性蜱,在印度、非洲、中东及美国的加利福尼亚州也有发现。
病因学 这种疾病是由于摄入感染了原虫的蜱引起的。另一种形式的肝原虫病在美国也有流行。
病理生理学 摄入的蜱释放出子孢子进入肠壁,被血液和淋巴液带入肺脏、脾脏、肝脏或肌肉等形成孢囊的 地方。孢囊内的裂殖体发展成裂殖子或子变形体,并最终变为配子母细胞或配子母体从而感染白细胞或内皮细 胞。血液含有感染的白细胞在脾内发育成子孢子,白细胞中的配子母细胞在蜱暴露后3~4周的时间才能分裂增 殖。
临床症状 常见的临床症状主要有发烧、嗜睡、厌食、出血点及鼻出血等。北美国家常见症状有:肌肉萎 缩,感染过敏,步态僵直,眼、鼻异常分泌物,反复发烧,体重减轻,多饮、多尿及血样腹泻。可见蜱感染。
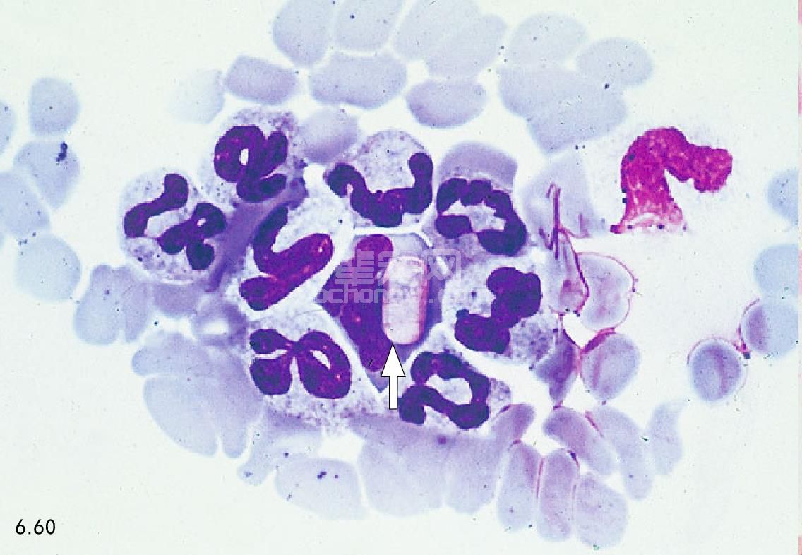
图6.60 犬肝孢子(簇)虫病(Hepatozoonosis)的血液涂片:单核细胞 中长椭圆形亮蓝色结构(箭头所指)。
母猪是猪场的核心,母猪繁殖力的高低影响着猪场年断奶仔猪数,决定猪场能否实现出栏目标。为了使生产持续稳定,猪场需要对母猪群进行有计划地更新(淘汰)。 母猪淘汰分为主动(正常)淘汰和被动(异常)淘汰。 主动淘汰是指有计划地对繁殖性能低、胎[详细]
天气愈渐寒冷,让养猪人非常头疼的问题来了:密闭不好,通风量大,舍内温度降低,轻则会影响猪的生长速度。因为猪要消耗一部分能量来维持自身体温,重则容易流感、应激;密闭严实一点,舍内温度上来了,但是氨气味特别大,猪群非常容易换上呼吸道方面的疾病。[详细]
食盐是猪日粮中不可缺少的成分。按饲料中含食盐量0.3%饲喂猪,可改善食欲,促进发育,但摄入过量常引起食盐中毒。有一位养猪朋友外购了一批仔猪,为了让猪增加采食量,喂猪时添加了食盐,连续用几天后。发现猪突然拒食,在圈内表现为转圈、兴奋不安,只喝水不[详细]
猪痢疾和增生性肠炎都是猪场常见的疾病,都有排血痢的现象,可造成猪的饲料利用率降低,生长速度受阻,使猪的出栏可延迟10-15天,有的形成僵猪,如不及时对症治疗猪的死亡率可出现高死亡率的现象,给养殖业造成了不小的经济损失。一、猪血痢诊断要点1、各种年[详细]
母猪通常排卵大约20—25枚,卵子的受精率可达95%以上。而母猪的产仔数多在9—13头之间,这说明有30%—40%的受精卵死亡,受精卵的死亡有三个时期。1:前期死亡:精子与卵子在输卵管的壶腹部受精形成的受精卵,受精卵呈游离状态,不断向子宫游动,到达子宫系膜[详细]