鉴别诊断 应与增生的骨髓瘤,淋巴肉瘤,免疫介导性关节炎等疾病相鉴别。
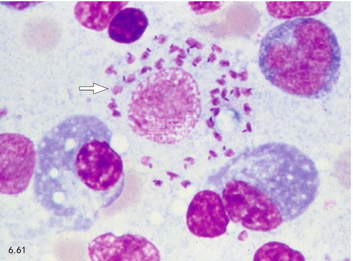
诊断 通过细胞学或组织病理学常可诊断本病。在骨髓、淋巴结、脾脏、肝脏、肾脏及皮肤的巨噬细胞内常 有特征性原虫出现(图6.61)。罗曼诺夫斯基染色血涂片上出现小的紫色核和一个垂直的杆形动基体被认为是无 鞭毛体。血清学和组织培养检查可作为诊断的辅助措施。利什曼原虫DNA结构PCR技术是一种新近发展起来的专 一性和敏感性都很强的一种诊断方法。此病可能发生轻度到中度的正红细胞性贫血和正血素性贫血;高球蛋白 血症和低清蛋白血症常有发生,但作为一种单克隆γ-球蛋白病却少有发生,反映了组织中浆细胞的增多症。
图6.61 感染利什曼原虫(Leishmania spp.)犬的骨髓涂片:可见巨噬 细胞胞核(箭头所指)内无鞭毛体存在。
母猪是猪场的核心,母猪繁殖力的高低影响着猪场年断奶仔猪数,决定猪场能否实现出栏目标。为了使生产持续稳定,猪场需要对母猪群进行有计划地更新(淘汰)。 母猪淘汰分为主动(正常)淘汰和被动(异常)淘汰。 主动淘汰是指有计划地对繁殖性能低、胎[详细]
天气愈渐寒冷,让养猪人非常头疼的问题来了:密闭不好,通风量大,舍内温度降低,轻则会影响猪的生长速度。因为猪要消耗一部分能量来维持自身体温,重则容易流感、应激;密闭严实一点,舍内温度上来了,但是氨气味特别大,猪群非常容易换上呼吸道方面的疾病。[详细]
食盐是猪日粮中不可缺少的成分。按饲料中含食盐量0.3%饲喂猪,可改善食欲,促进发育,但摄入过量常引起食盐中毒。有一位养猪朋友外购了一批仔猪,为了让猪增加采食量,喂猪时添加了食盐,连续用几天后。发现猪突然拒食,在圈内表现为转圈、兴奋不安,只喝水不[详细]
猪痢疾和增生性肠炎都是猪场常见的疾病,都有排血痢的现象,可造成猪的饲料利用率降低,生长速度受阻,使猪的出栏可延迟10-15天,有的形成僵猪,如不及时对症治疗猪的死亡率可出现高死亡率的现象,给养殖业造成了不小的经济损失。一、猪血痢诊断要点1、各种年[详细]
母猪通常排卵大约20—25枚,卵子的受精率可达95%以上。而母猪的产仔数多在9—13头之间,这说明有30%—40%的受精卵死亡,受精卵的死亡有三个时期。1:前期死亡:精子与卵子在输卵管的壶腹部受精形成的受精卵,受精卵呈游离状态,不断向子宫游动,到达子宫系膜[详细]