鉴别诊断 见表6.8。应与房室瓣的回流,三尖瓣回流相鉴别。
表6.8 杂音类型和原因
诊断
X线片 (图6.98和图6.99)小的缺损,其心脏侧面影像可见正常。较大的血液动力学显著缺陷者,常常有左 心房和左心室肥大的影像,该肥大可加重心脏肥大症。加重肺水肿的肺动脉和静脉的扩大,被认为肺的过度循环。
心电图 小的缺损时,ECG常常正常。出现大的分流的病例,可见左心房肥大(P波加宽)和/或左心室肥大 (R波增高)。右心室肥大(在导联Ⅰ、Ⅱ、Ⅲ,aⅤF时S波加深),如果肺动脉高压发展,右轴会偏差(犬>+ 100°,猫>+160°)。
超声波心动描记术 (图6.100和图6.101)左心房和左心室扩张表明血液超负荷。如果缺损较大,则左心室 运动功能亢进。右心室常常变化不明显,但可因具有血液动力学分流的影响而出现扩张。
在主动脉瓣下面,间隔部位的膜状区可见到VSD。通过几张影像平面图来论证缺损非常重要,从而避免因为 回波消失而引起误诊。使用光谱的和彩色流动多普勒仪信号,从而论证靠近隔膜的心室。多普勒超声波心动描记 术,显示了较高的流动速率,并伴有不同程度的紊乱。从左心室到右心室的分流具有支配作用。二尖瓣的回流较 常见。
图6.98 患VSD的2岁龄猫,胸部侧位X线片显示心肥大和肺水肿。
图6.99 与图6.98为同一只猫的背腹位X线片。
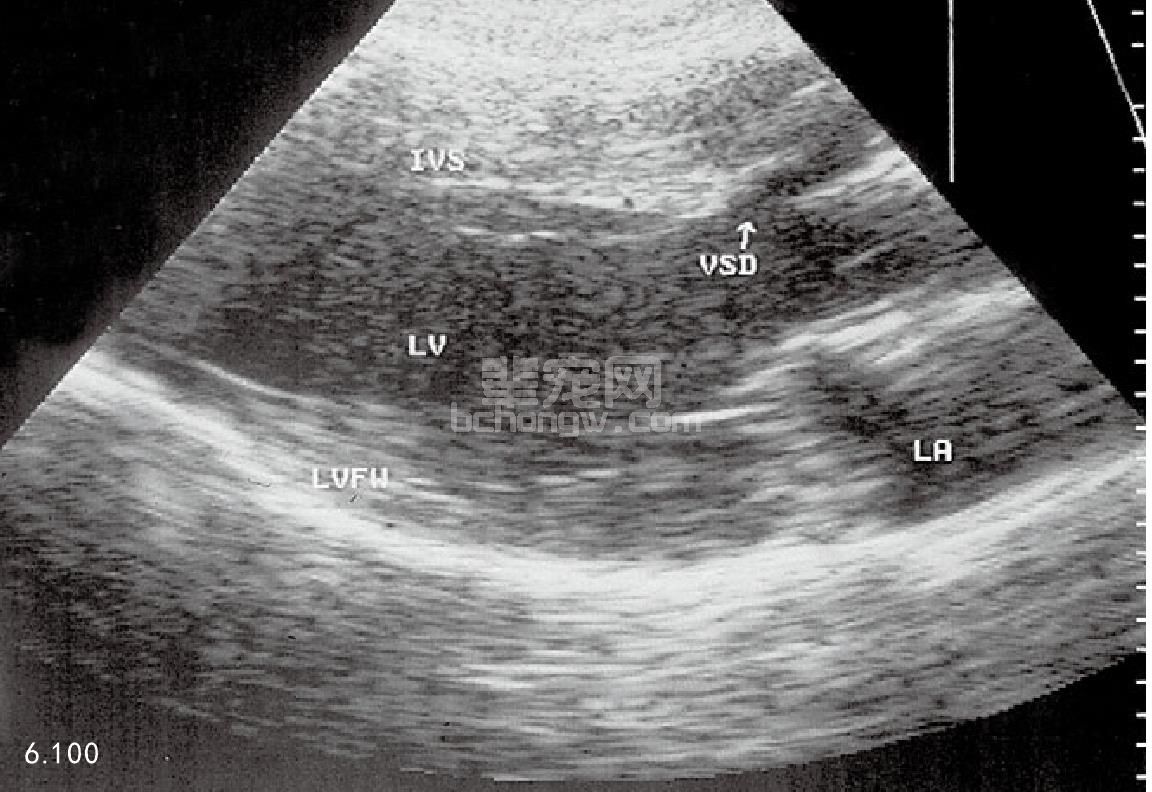
图6.100 9月龄猫的超声波心动描记,VSD正好在动脉瓣的下面。
图6.101 4月龄柴犬的彩色流动多普勒超声波心动描记,表明液体通过VSD。
母猪是猪场的核心,母猪繁殖力的高低影响着猪场年断奶仔猪数,决定猪场能否实现出栏目标。为了使生产持续稳定,猪场需要对母猪群进行有计划地更新(淘汰)。 母猪淘汰分为主动(正常)淘汰和被动(异常)淘汰。 主动淘汰是指有计划地对繁殖性能低、胎[详细]
天气愈渐寒冷,让养猪人非常头疼的问题来了:密闭不好,通风量大,舍内温度降低,轻则会影响猪的生长速度。因为猪要消耗一部分能量来维持自身体温,重则容易流感、应激;密闭严实一点,舍内温度上来了,但是氨气味特别大,猪群非常容易换上呼吸道方面的疾病。[详细]
食盐是猪日粮中不可缺少的成分。按饲料中含食盐量0.3%饲喂猪,可改善食欲,促进发育,但摄入过量常引起食盐中毒。有一位养猪朋友外购了一批仔猪,为了让猪增加采食量,喂猪时添加了食盐,连续用几天后。发现猪突然拒食,在圈内表现为转圈、兴奋不安,只喝水不[详细]
猪痢疾和增生性肠炎都是猪场常见的疾病,都有排血痢的现象,可造成猪的饲料利用率降低,生长速度受阻,使猪的出栏可延迟10-15天,有的形成僵猪,如不及时对症治疗猪的死亡率可出现高死亡率的现象,给养殖业造成了不小的经济损失。一、猪血痢诊断要点1、各种年[详细]
母猪通常排卵大约20—25枚,卵子的受精率可达95%以上。而母猪的产仔数多在9—13头之间,这说明有30%—40%的受精卵死亡,受精卵的死亡有三个时期。1:前期死亡:精子与卵子在输卵管的壶腹部受精形成的受精卵,受精卵呈游离状态,不断向子宫游动,到达子宫系膜[详细]