鉴别诊断 应与甲状腺功能亢进、全身性高血压、主动脉狭窄、非心源性胸膜渗出、心包渗出存在时的心包 疾病相鉴别。
诊断
图6.129 患动脉血栓栓塞的猫,其后肢表明脚垫青紫,右侧肢尤为明显(箭头所指)。
图6.130 患HCM的10岁猫侧位X线片。
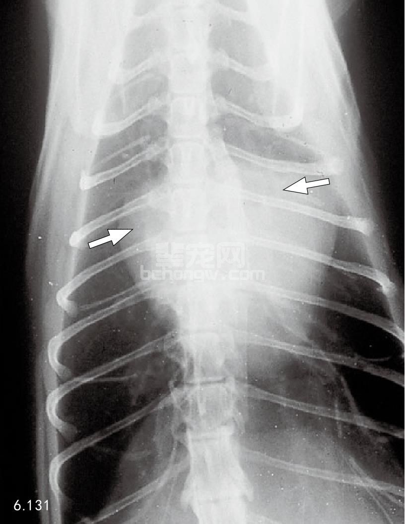
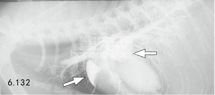
X线片 因为肥大变化是向心的,胸部X线片可能并不明显(图6.130)。由于左、右心房肥大,在腹背位 投影时心脏显现“瓦伦汀(valentine)”形状(图6.131)。这种情形可能发展到左侧或全心肌扩大症。左侧心 衰的猫常常有肺充血和组织间隙性的(而不是肺泡)肺水肿(图6.132和图6.133)。
图6.131 为图6.130所示猫的背腹位X线片。注意由于两心房的肥大(箭头)而出现的“瓦伦汀”形状。
图6.132和图6.133 患HCM的18月龄的缅甸猫侧位(图6.132)及腹背位(图6.133)对比心血管造 影,显示左心房和右心房肥大(箭头所指)。
图6.134 患肥大性心肌病的猫心电图,表明窦性心律不齐。
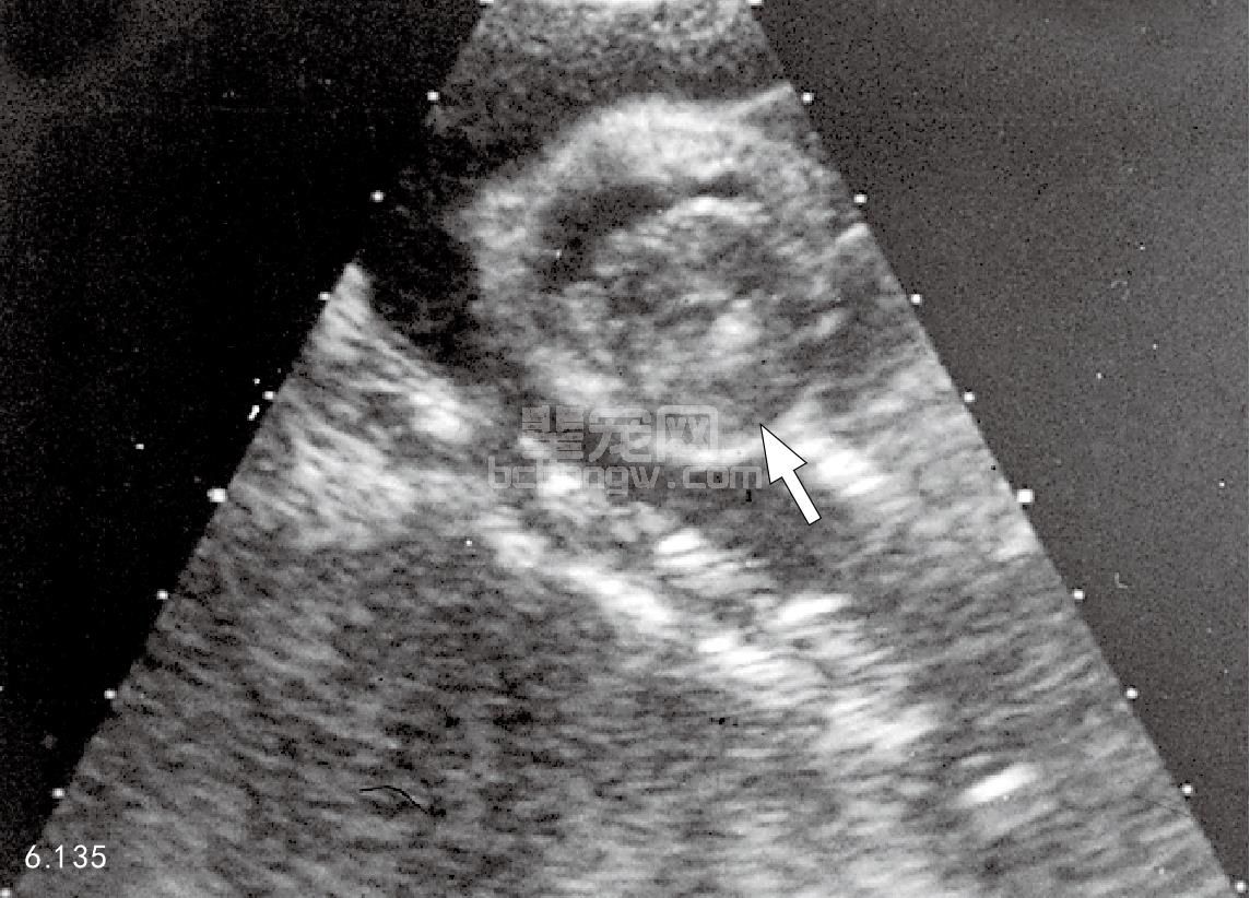
图6.135 患HCM的13岁猫,其二维右侧胸骨旁的超声波心动描记,显示典型的心室壁增厚(箭头所指)。
图6.136 为图6.135患猫的左心室M-型超声波心动描记。注意胸膜的液体(箭头所指)。
图6.137 为图6.135猫死后标本的横切面,显示向心性肥大。
心电图 ECG的结果通常包括窦性心动过速,以及左心房肥大(P波增高或加宽)、左心室肥大(R波振幅 增大)的体征(图6.134)。经常出现传导紊乱,尤其是左心房束状分支阻塞。
超声波心动描记术 HCM的特征有:对称性的,或较少不对称性的左心室壁和室间隔(舒张厚度大于 5.5mm)肥大,有时存在有高回声的大乳突状肌肉和左心房扩张。血小板可能存在于左心房壁上,左心室收缩和 舒张的内径降低,分级缩短是正常或增加。收缩前房室瓣膜运动可由M-型检测记录下来。如果动态的左心室外 流障碍存在,多普勒研究可显示房室瓣心脏口回流和/主动脉速率增加(图6.135~图6.137)。
母猪是猪场的核心,母猪繁殖力的高低影响着猪场年断奶仔猪数,决定猪场能否实现出栏目标。为了使生产持续稳定,猪场需要对母猪群进行有计划地更新(淘汰)。 母猪淘汰分为主动(正常)淘汰和被动(异常)淘汰。 主动淘汰是指有计划地对繁殖性能低、胎[详细]
天气愈渐寒冷,让养猪人非常头疼的问题来了:密闭不好,通风量大,舍内温度降低,轻则会影响猪的生长速度。因为猪要消耗一部分能量来维持自身体温,重则容易流感、应激;密闭严实一点,舍内温度上来了,但是氨气味特别大,猪群非常容易换上呼吸道方面的疾病。[详细]
食盐是猪日粮中不可缺少的成分。按饲料中含食盐量0.3%饲喂猪,可改善食欲,促进发育,但摄入过量常引起食盐中毒。有一位养猪朋友外购了一批仔猪,为了让猪增加采食量,喂猪时添加了食盐,连续用几天后。发现猪突然拒食,在圈内表现为转圈、兴奋不安,只喝水不[详细]
猪痢疾和增生性肠炎都是猪场常见的疾病,都有排血痢的现象,可造成猪的饲料利用率降低,生长速度受阻,使猪的出栏可延迟10-15天,有的形成僵猪,如不及时对症治疗猪的死亡率可出现高死亡率的现象,给养殖业造成了不小的经济损失。一、猪血痢诊断要点1、各种年[详细]
母猪通常排卵大约20—25枚,卵子的受精率可达95%以上。而母猪的产仔数多在9—13头之间,这说明有30%—40%的受精卵死亡,受精卵的死亡有三个时期。1:前期死亡:精子与卵子在输卵管的壶腹部受精形成的受精卵,受精卵呈游离状态,不断向子宫游动,到达子宫系膜[详细]