概述 一般可见有扩散型和病灶型胸腔纵隔增大。胸腔纵隔肿块在中线上或在中线附近时,常引起邻近的纵 隔和胸腔结构移位。在X线检查或超声波检查的基础上可进行鉴别诊断。
病因学 扩散型胸腔纵隔增大可以与纵隔炎、纵隔出血、纵隔水肿或脓肿等并发。病灶型胸腔纵隔增大可伴 有肿瘤、淋巴结病、肉芽肿或脓肿形成。
临床症状 主要包括呼吸困难、咳嗽和反胃。可 能存在头部和颈部的淋巴水肿。
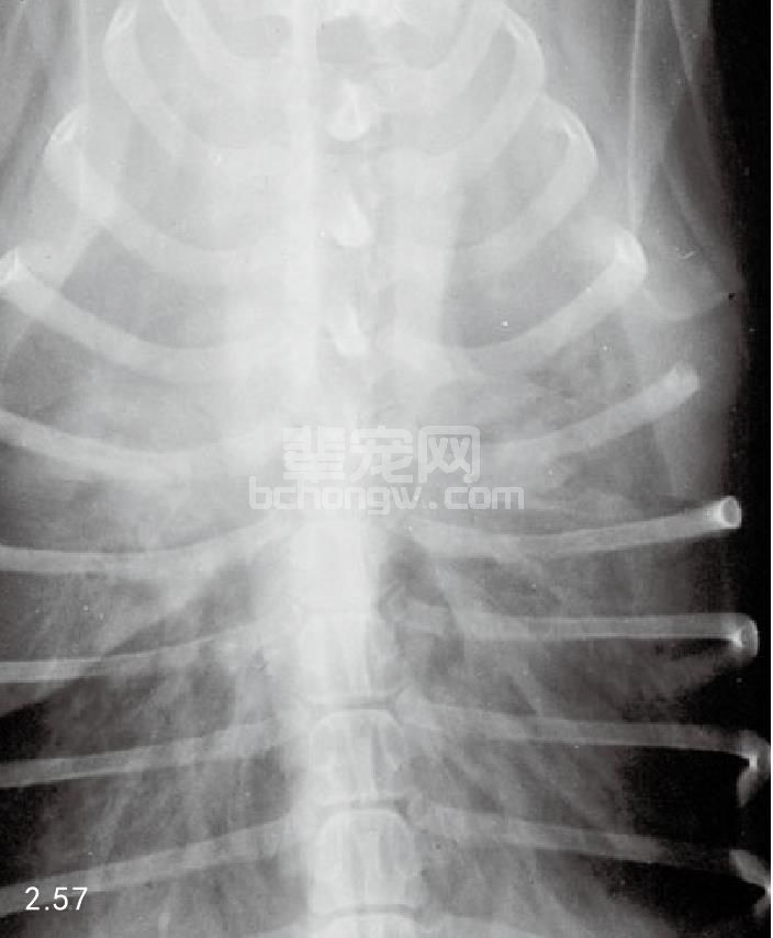
图2.57 患有扩散型前部胸腔纵隔加宽的金毛猎犬的背腹侧胸腔X线片。
图2.58 患有胸腔纵隔和胸膜积液的爱尔兰猎狼犬的超声波图。
图2.44 患有前部胸腔纵隔淋巴瘤的家养长毛猫的侧面X线片。
图2.48 患有颅侧胸腔纵隔淋巴瘤的6岁大丹犬的胸部超声波图:小块次回 声肿块(箭头所示)。
母猪是猪场的核心,母猪繁殖力的高低影响着猪场年断奶仔猪数,决定猪场能否实现出栏目标。为了使生产持续稳定,猪场需要对母猪群进行有计划地更新(淘汰)。 母猪淘汰分为主动(正常)淘汰和被动(异常)淘汰。 主动淘汰是指有计划地对繁殖性能低、胎[详细]
天气愈渐寒冷,让养猪人非常头疼的问题来了:密闭不好,通风量大,舍内温度降低,轻则会影响猪的生长速度。因为猪要消耗一部分能量来维持自身体温,重则容易流感、应激;密闭严实一点,舍内温度上来了,但是氨气味特别大,猪群非常容易换上呼吸道方面的疾病。[详细]
食盐是猪日粮中不可缺少的成分。按饲料中含食盐量0.3%饲喂猪,可改善食欲,促进发育,但摄入过量常引起食盐中毒。有一位养猪朋友外购了一批仔猪,为了让猪增加采食量,喂猪时添加了食盐,连续用几天后。发现猪突然拒食,在圈内表现为转圈、兴奋不安,只喝水不[详细]
猪痢疾和增生性肠炎都是猪场常见的疾病,都有排血痢的现象,可造成猪的饲料利用率降低,生长速度受阻,使猪的出栏可延迟10-15天,有的形成僵猪,如不及时对症治疗猪的死亡率可出现高死亡率的现象,给养殖业造成了不小的经济损失。一、猪血痢诊断要点1、各种年[详细]
母猪通常排卵大约20—25枚,卵子的受精率可达95%以上。而母猪的产仔数多在9—13头之间,这说明有30%—40%的受精卵死亡,受精卵的死亡有三个时期。1:前期死亡:精子与卵子在输卵管的壶腹部受精形成的受精卵,受精卵呈游离状态,不断向子宫游动,到达子宫系膜[详细]