治疗 CRF患病动物的开始治疗应采取合适的液体和电解质治疗,以使急性期平稳地进入稳定期。肾脏损伤 和肾衰竭进展的原因一定要尽可能确定并清除(表5.5~表5.7)。建议主人在宠物适应范围内尽快改变环境和饮 食。
提高食欲和防止呕吐 食物应可口、温热,质地适合患病动物口味。低蛋白、低钠日粮可推荐为治疗CRF动 物的食品,但是这些食品对犬、猫来讲口感不佳。为了避免动物在诊所这一不利的环境中产生厌食,建议将食 品带回家后再饲喂。患病动物每天少量多次进食要好于少次多量进食。低剂量的钙三醇治疗和使用促红细胞生 成素可能会增加食欲。提高食欲和降低呕吐使用H 2 组胺受体拮抗剂,如盐酸西咪替丁(犬:5mg/kg,口服,每天 3~4次;猫:2.5~5mg/kg,每天1~2次)或者盐酸雷尼替丁(犬和猫:0.5mg,口服,每天2次)都能取得很好 的效果。对于胃蠕动紊乱,胃复安(0.2~0.4mg,口服,每天3次),用来控制犬、猫的呕吐疗效显著。对于难 以控制的呕吐,作为最后的办法,可选用作用于中枢的抗呕吐药,如曲美苄胺 [3mg/kg,口服,每天3次(仅对 犬可用)],甲哌氯丙嗪(0.13mg/kg,口服,每天3~4次)以及氯丙嗪(0.5~2mg/kg,口服,每天1~4次)。不 建议长期使用中枢作用的抗呕吐药,因为它们会引起嗜睡。 调节饮食 营养是治疗CRF的主要方法。随时提供新鲜而干净的饮水,食物提供量为70~110kcalME/
(kg·d)。实际的量应根据动物身体状态和对食物的 反应来定。
表5.8 患有CRF犬和猫的蛋白质限制
限制蛋白 患有CRF的犬调节蛋白的摄入量,目的 是使血液尿素氮(BUN)水平保持在小于80mg/dL(尿 素13.3mmol/L)。低蛋白日粮会使患有CRF的犬看起来 更强壮、更有活力,被毛更健康。另外,尿量下降, 因为尿毒症犬倾向于异化代谢状态,日粮蛋白需求至 少稍高于正常犬。患有CRF的犬不能够耐受蛋白质低于 2.2g/(kg·d),猫的最低限量是4.25g/(kg·d)(表 5.8)。患有CRF犬的日粮蛋白质过少,有报道认为会 出现低血清蛋白血症、贫血症和代谢性酸中毒,最好定期检查这些指标。
控制肾脏继发甲状旁腺功能亢进:
● 低磷酸盐日粮(见前面)。
● 口服磷酸盐结合药物。
● 低剂量的钙三醇。
当日粮磷酸盐的摄入减少后可以相应地降低GFR,也可以控制肾脏继发甲状旁腺功能亢进。日粮中的磷 酸盐水平可以降低到犬30~60mg/100kcalME,猫100mg/100kcalME,其目标是使血清磷水平小于6mg/dL (1.9mmol/L)。
然而,单独限制日粮中磷酸盐不能够使血清磷的水平降低到这个程度,为达到这个目的,应该使用磷酸盐结 合剂。合适的磷酸盐结合药物有氢氧化铝凝胶和碳酸铝。尽管液体形式的药物更有效,但是对于犬,片剂和胶 囊易于被犬接受。对于犬和猫,氢氧化铝凝胶和碳酸铝的建议剂量为10~30mg/kg,口服,每天3次。结合低磷 日粮,再使用磷酸盐结合药物,对降低血清磷更为有效。
患有CRF人,钙盐能够有效结合磷酸盐,但对患有CRF的犬、猫无作用,施药前必须密切注意血清磷的正常 水平。钙盐应同食物一起给予,进食时会降低高血钙。血钙过高同时伴有血磷过高会引起软组织矿化和肾脏迅 速衰竭。
即使患有CRF的动物饲喂了低磷日粮并使用了磷酸盐结合剂,其血清PTH常常保持在异常高的水平。如果血 清钙和血清磷水平都在正常范围之内,可以使用钙三醇(1.2~3.5μg/kg,口服,每天1次),此为肠道吸收钙剂 的最小剂量,直接抑制PTH的产生。在使用钙三醇期间,定期检查血清钙和血清磷的水平,还应该测量PTH的水 平以确定治疗作用。甲状旁腺功能亢进已知是有害的,但是对患有CRF的动物使用钙三醇来精确地降低PTH的水 平更容易被检测。
钠的限制 对患有CRF的犬和猫,建议中度的日粮钠限制:50~60mg/100kcalME。甚至是对晚期的CRF,肾 脏对钠排泄的调节范围很大,对食物中钠的调节时间会超过好几天。然而,应该避免摄入高剂量的钠,因为它 会加剧高血压并且能引起视网膜脱落和失明。
碱治疗 采取碱治疗以维持犬猫血清碳酸氢盐水平大于17mEq/L(mmol/L)。剂量应根据实际情况而变动, 但是开始应该在0.1mEq(mmol/L)/kg,口服,每天2~3次。对于碳酸氢钠相应的量为10mg/kg,口服,每天2~3 次。在纠正酸中毒时,为了避免钠的供给量过度,应该使用非含钠的碱性物质,如柠檬酸钾和葡萄糖酸钾。
补充钾 在猫的CRF经常补充钾,以使血清钾离子浓度维持在大于4mEq/L(mmol/L)的水平。补充葡萄糖 酸钾2~6mEq(mmol/L)/d,口服,开始剂量可以高,随后的几天应该低剂量维持。在治疗患有严重的钾损耗和 多肌病猫时,在最初的治疗期间应该密切检测血清钾的水平。
补充维生素 人类尿毒症患者一般在食物中补充复合维生素B和维生素C,因为身体缺乏叶酸、维生素B 6 和 抗坏血酸盐。对于犬和猫也建议使用这类药物,但有关权威数据尚未报道。
补充脂类 调节日粮中的脂类可以改变GFR和CRF发展。有关犬自发性CRF的报道,显示添加n-6多聚不饱 和脂肪酸比n-3多聚不饱和脂肪酸容易使GFR升高。另外一篇结论类似的关于实验模型CRF犬的报道,应用n-3 多聚不饱和脂肪酸比使用n-6多聚不饱和脂肪酸的对照组犬,更能够降低血管球性高血压和保护肾脏的结构和功 能。因此,日粮中添加n-6多聚不饱和脂肪酸可以增加GFR,使得CRF进一步发展。进一步研究需要阐明的是对 患有CRF的犬和猫日粮中添加多聚不饱和脂肪酸的危险性和有益性。
纠正贫血 对于表现贫血症的CRF患犬,最好使用α-依泊丁(50~100U/kg,皮下注射,每周2次)治疗。 许多患有CRF贫血的动物体内发生铁耗竭。适当地补充硫酸铁盐(犬,100~200mg,口服,每天1次;猫, 50~100mg,口服,每天1次)可以纠正。如果血清铁浓度、总的铁结合能力和转铁蛋白的饱和度正常,开始时 可以使用α-依泊丁。定期检查患病动物的PCV以确定治疗效果和防止用药量过多出现红细胞增多症。一旦纠正 了贫血,α-依泊丁的剂量应该减少并减少用药次数。α-依泊丁仅仅用于严重贫血(如PCV小于25%)的CRF动 物,因为这种药物对60%的犬和猫具有免疫源性,抗体反应不强烈,然而,39%的犬会产生高滴度抗体,α-依 泊丁将失去药效,重新发生贫血。
通过前面介绍的α-依泊丁,建议使用同化的类固醇类药物(如诺龙癸酸1~1.5mg/kg,肌注,每周2次)来 纠正CRF的贫血。这种治疗方法对人类患者的作用较小,在犬和猫同化的类固醇类的作用如同造血作用还没有被 证明。
抗高血压药物 抗高血压药物用来治疗患有严重高血压的动物 [收缩压大于180mmHg(24kPa),舒张压 大于120mmHg(16kPa),并且平均压大于140mmHg(18.7kPa)],尤其要留意没有临床记录的患病动物。 严重的高血压最明显的临床危害是引起视网膜脱落和急性失明,这仅仅在血压值非常高时才出现。因此,对 于动物高血压没有必要进行降压到正常范围,只要收缩压小于160mmHg(21.3kPa),舒张压小于110mmHg (14.7kPa),平均压在130mmHg(17.3kPa)就能阻止眼睛发生并发症。
高血压的治疗应制订谨慎的步骤,治疗2~4周后应重新测定血压,再进行下一疗程的治疗。第一步是饲喂低 钠日粮,第二步是使用血管紧张素转换酶抑制剂(ACE),如犬用贝那普利(0.5mg/kg,口服,每天1~2次), 猫用阿姆罗赫(0.625~1.25mg/kg,口服,每天1次)。第三步可对犬和猫使用β-神经阻滞剂,如氨酰心安2mg/ kg,口服,每天1次。钙通道阻断剂,如硫氮 酮也可用于血管舒张。需要多种药物治疗时,药物潜在的相互作 用会对CRF保持更持久和更强的药效。
血液透析和肾脏移植 血液透析每周2~3次,可以维持患有CRF犬和猫的生命,这种治疗方法在美国只有少 数的几家参考中心医院提供,技术上可行但是只有极少的犬去接受治疗。然而,可靠而长期的血管通路、设备 费用、消耗品和训练有素的技术人员是普及这种治疗的最大障碍。
肾脏移植对于猫成功率较高,但是对于组织相容性差的犬成功率很低,免疫抑制药物和抗淋巴细胞血清可以 用于控制免疫排斥和提高动物术后的生存时间,手术花费昂贵。
CRF的护理 通过一系列GFR检测可确定CRF的发展速度。闪烁扫描术排除可精确测定GFR,这是特殊的昂 贵设备,专用于临床。血清肌酐时间作用图可作为加速CRF发展的一种方法。但这种图纸不太准确,其值也受到 一定限制。引发本病的因素,高磷日粮摄入、犬的严重高血压以及猫的血钾过少应予以重视。
对CRF药物剂量的调节 治疗患有CRF动物的药物多伴有有害的副作用,药物主要通过肾脏排出,当给予正 常剂量时,倾向于集中在肾脏的药物浓度要高于血浆的浓度,而且在氮质血症时,药物的分布以及和蛋白质的 结合被改变,因此副作用更强了。
药物通过非肾脏系统排泄很少引起问题,药物主要通过肾脏排泄可能会引起:①无害,甚至很高的血液药物 浓度;②在高血浆浓度时中毒,甚至更恶劣;③在高血浆浓度时肾脏中毒。
因为药物主要由肾脏排泄,因此应根据血药浓度水平的测定或者通过患病动物GFR的准确测定来确定合适的 药物剂量(Kf)。
Kf=患病动物GFR/正常GFR
剂量调整可以下面两种途径处理:
● 缩减剂量:根据Kf减少正常剂量。
● 调节用药间隔:根据Kf增加正常的用药间隔时间。
由于GFR对大多数临床病例不能获得Kf,临床医生可以通过自己的化验室根据患病动物血清肌酐和正常犬血 清肌酐平均值的比率来粗略地估算Kf。根据计算出的Kf值,精确地计算氨基糖苷类抗生素的用药剂量。固定剂量 增加用药间隔时间的调节比减少剂量、固定用药间隔时间的调节对肾脏的危害性小。
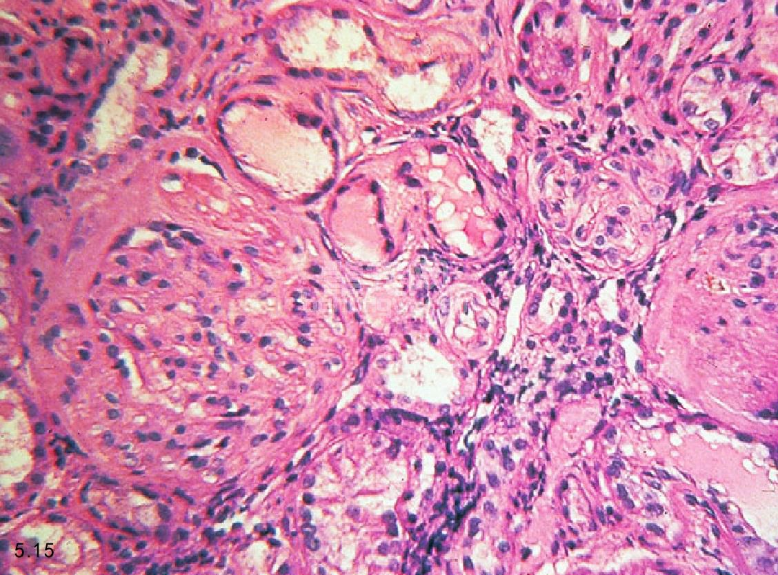
图5.15和图5.16 犬慢性肾衰竭肾脏的组织病理学。图5.15肾血管球硬化症和单核性间隙性渗透病变。图5.16肾小管萎缩和间隙纤维化。
母猪是猪场的核心,母猪繁殖力的高低影响着猪场年断奶仔猪数,决定猪场能否实现出栏目标。为了使生产持续稳定,猪场需要对母猪群进行有计划地更新(淘汰)。 母猪淘汰分为主动(正常)淘汰和被动(异常)淘汰。 主动淘汰是指有计划地对繁殖性能低、胎[详细]
天气愈渐寒冷,让养猪人非常头疼的问题来了:密闭不好,通风量大,舍内温度降低,轻则会影响猪的生长速度。因为猪要消耗一部分能量来维持自身体温,重则容易流感、应激;密闭严实一点,舍内温度上来了,但是氨气味特别大,猪群非常容易换上呼吸道方面的疾病。[详细]
食盐是猪日粮中不可缺少的成分。按饲料中含食盐量0.3%饲喂猪,可改善食欲,促进发育,但摄入过量常引起食盐中毒。有一位养猪朋友外购了一批仔猪,为了让猪增加采食量,喂猪时添加了食盐,连续用几天后。发现猪突然拒食,在圈内表现为转圈、兴奋不安,只喝水不[详细]
猪痢疾和增生性肠炎都是猪场常见的疾病,都有排血痢的现象,可造成猪的饲料利用率降低,生长速度受阻,使猪的出栏可延迟10-15天,有的形成僵猪,如不及时对症治疗猪的死亡率可出现高死亡率的现象,给养殖业造成了不小的经济损失。一、猪血痢诊断要点1、各种年[详细]
母猪通常排卵大约20—25枚,卵子的受精率可达95%以上。而母猪的产仔数多在9—13头之间,这说明有30%—40%的受精卵死亡,受精卵的死亡有三个时期。1:前期死亡:精子与卵子在输卵管的壶腹部受精形成的受精卵,受精卵呈游离状态,不断向子宫游动,到达子宫系膜[详细]