治疗
图5.42 由于尿道阻塞引起的猫的肾后性氮质血症、高血钾的ECG:治疗 前和治疗后。
图5.43 猫尿道阻塞时的尿道栓塞。
图5.44 猫下泌尿道疾病时血尿和晶体尿的尿沉积物。
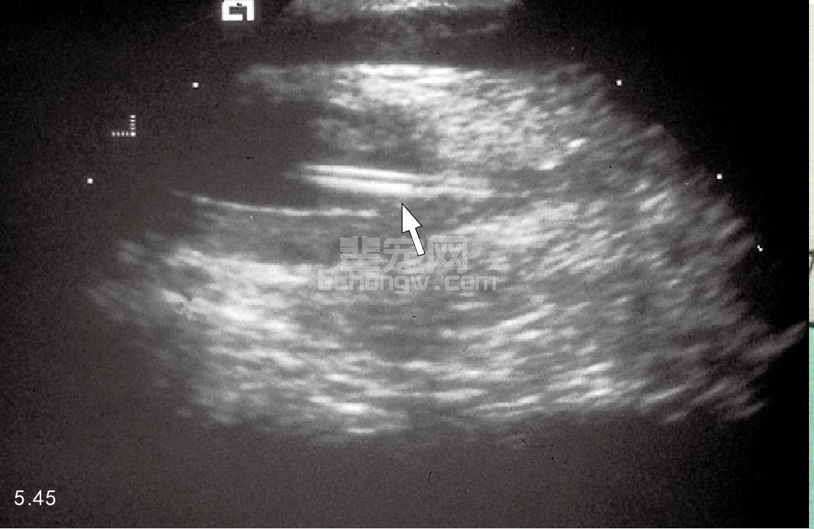
图5.45 超声检查猫的下泌尿道疾病,有一断裂的导尿管在膀胱内(箭头 所指)。诊断前导尿管在消除阻塞后用了将近2年。
图5.46 猫突发性的下泌尿道疾病,膀胱镜检查黏膜下团伞状出血。80cm水 压时膀胱膨胀才会看到这种损伤,这种结果具有非特异性,但正常猫膀胱 内没有。
阻塞性 必须非常小心轻缓地移动患猫,采取静脉输液,使用在0.45%氯化钠溶液里配制2%葡萄糖,在4 小时内输完。严重高钾血症时应使用碳酸氢钠、胰岛素/葡萄糖或者葡萄糖酸钙进行治疗。代谢性酸中毒可以使 用碳酸氢钠予以纠正。只要心脏稳定,尿道阻塞就可以解决。在进行导尿管插管时应该使动物深度的镇静、止 痛或者轻微的麻醉,以使尿道损伤减轻到最低的程度。找出阴茎,生理盐水冲洗末端开放的导尿管,慢慢插入 尿道。如果不能进行导尿管插管,可以利用膀胱穿刺的方法抽取20~30mL尿液以对膀胱进行减压。在解除阻塞 之前,可以在耻骨前进行膀胱造口术,植入导管,使身体代谢稳定。偶尔也需要紧急的会阴部尿道造口术,然 而,这种情况仅仅是一种应急的救助措施,因为它很容易复发UTI。即使阻塞物质被清除后,尿道肌肉痉挛也会 使尿道闭塞,尤其是在尿道受到过度的创伤后。可以留置导尿管24~48小时,药物可以控制尿道痉挛(苯氧苯 扎明5mg,口服,每天1次,连用3~5天;安定(地西泮)2.5mg,口服,每天2次,3~5天;泼尼松2.5mg,口 服,每天2次,3~5天)。同时,应该使用广谱抗生素类药物,尤其是在植入导管时。植入的导管在移除时需要 更换抗生素,因为尿道倾向于有耐药菌生长。
阻塞后利尿3天,治疗前患猫会脱水,血钾水平降低,静脉输液可维持水和正常血钾。静脉输钾不能超过 0.5mEq(mmol)/(kg·h)。一旦患病动物能够吃喝,应该在12~24小时内逐步降低静脉输液的速度,如果猫 发生脱水,要密切注意体重的变化。正常水合能够维持,可不使用静脉输液来补充。
尽管晶体和结石与猫的尿道阻塞有关,其成分几乎都是鸟粪石,必须进行结石分析以便采取合适的饮食和治 疗措施,并且要防止复发。
非阻塞性 尿结石和UTI可以根据上面章节的原理进行处理。草酸钙尿结石必须利用外科手术的方法清除, 鸟粪石结石可以进行溶解,对患有UTI的猫要做尿液培养和敏感性试验,以便选择合适的抗生素进行治疗。关于 猫的下泌尿道肿瘤的治疗措施知之甚少。对于恶性肿瘤,外科切除和随后的化疗似乎符合常规。
广泛的多种经验疗法对于突发性FLUTD的治疗非常成功。症状逐渐明显到逐渐减弱的临床症状,使得对治 疗效果的评价显得非常困难。然而,几乎没有做过临床试验的对照。罐装食品似乎有预防作用。这些食品可以 降低尿液中的活性产物形成矿物质沉淀,所以任何可能会引起晶体尿或者炎症的食物都不被推荐使用。然而, 晶体尿样本(没有结石)和突发FLUTD的关系还不清楚。许多经验性的和对症的治疗可以控制临床症状(表 5.22)。表中所列的方法反映了临床兽医在治疗突发性FLUTD的挫败,他们对潜在的病因学和发病机制知道的 很少,因此只能进行有限治疗。
“应激”总是被认为是突发性FLUTD的重要原因 之一,很难区别与应激引起的行为性干扰,即猫的领 土之争,显示的撒尿行为和因为应激引起的尿道膀胱 器官性疾病相区别。所以,明智的选择是询问动物主 人有无新的具有威胁性的应激者进入猫生活的环境, 如新的宠物、新的小孩的加入、重新布置环境等。
饲喂罐装食品,避免饲喂干燥的日粮似乎有助于 降低突发性FLUTD的复发,其机制还不清楚。三环抗 抑郁药(阿米曲替林5~10mg,口服,每天2次),在无对照的临床研究中,高复发的突发性FLUTD患猫有长期 抑制其症状出现的作用。消除临床症状的原因可能是抑制了疼痛感觉(痛觉丧失)和膀胱壁局部炎性物质的释 放。膀胱尿液压力在80cm水柱时可缓解妇女间质性膀胱炎证候,同样可用于猫的突发性FLUTD,但是没有对照 实验(图5.47)。
膀胱内使用DMSO,口服黏多糖替代治疗,低变应原性食物,抗副交感神经药物,抗生素和皮质类固醇药物 等的使用疗效较低。对妇女间质性膀胱炎的处理,应在全身麻醉状态下,向膀胱内注入50%的DMSO溶液10~15 分钟,每周2次,连用2~3周,建议用于治疗猫的突发性FLUTD。没有对照试验支持猫使用DMSO治疗的有效 性。黏多糖的排泄过程对于治疗女性间质性膀胱炎有特殊的用途,其从尿液中分泌,可补充内源性黏多糖层的 不足。它们的使用有争议,但是有人介绍聚硫戊聚糖10mg,口服,每天2次,可以减轻猫突发性FLUTD的临床症 状。低变应原性食物可避免未知的过敏原,防止引起膀胱炎症,只是建议使用,并无准确评价。抗副交感神经 药物,如丙胺太林7.5mg,口服,每天2次,建议用于控制患有突发性FLUTD猫的频尿证候,但这种疗法作用尚 不清楚。根据经验可常年给予抗生素,以控制患有突发性FLUTD猫的UTI,即使尿液培养没有出现病原微生物最 好也要给予抗生素。皮质类固醇类药物的使用可以控制炎症。抗生素和皮质类固醇类药物在对突发性FLUTD的 病程和临床症状的作用还没有进行对照试验研究。
表5.22 突发性FLUTD的经验治疗、假定病因或症状表现
图5.47 膀胱后部注水膨胀图:对膀胱进行插管,外部连接的水柱高度为80cm,持续10分钟。
母猪是猪场的核心,母猪繁殖力的高低影响着猪场年断奶仔猪数,决定猪场能否实现出栏目标。为了使生产持续稳定,猪场需要对母猪群进行有计划地更新(淘汰)。 母猪淘汰分为主动(正常)淘汰和被动(异常)淘汰。 主动淘汰是指有计划地对繁殖性能低、胎[详细]
天气愈渐寒冷,让养猪人非常头疼的问题来了:密闭不好,通风量大,舍内温度降低,轻则会影响猪的生长速度。因为猪要消耗一部分能量来维持自身体温,重则容易流感、应激;密闭严实一点,舍内温度上来了,但是氨气味特别大,猪群非常容易换上呼吸道方面的疾病。[详细]
食盐是猪日粮中不可缺少的成分。按饲料中含食盐量0.3%饲喂猪,可改善食欲,促进发育,但摄入过量常引起食盐中毒。有一位养猪朋友外购了一批仔猪,为了让猪增加采食量,喂猪时添加了食盐,连续用几天后。发现猪突然拒食,在圈内表现为转圈、兴奋不安,只喝水不[详细]
猪痢疾和增生性肠炎都是猪场常见的疾病,都有排血痢的现象,可造成猪的饲料利用率降低,生长速度受阻,使猪的出栏可延迟10-15天,有的形成僵猪,如不及时对症治疗猪的死亡率可出现高死亡率的现象,给养殖业造成了不小的经济损失。一、猪血痢诊断要点1、各种年[详细]
母猪通常排卵大约20—25枚,卵子的受精率可达95%以上。而母猪的产仔数多在9—13头之间,这说明有30%—40%的受精卵死亡,受精卵的死亡有三个时期。1:前期死亡:精子与卵子在输卵管的壶腹部受精形成的受精卵,受精卵呈游离状态,不断向子宫游动,到达子宫系膜[详细]